Home

Periodontist

Peridontitis 640x428periodontist is a dentist who specializes in preventing, diagnosing, and treating gum disease. They also help you manage signs of advancing gum problems like oral inflammation.

Gum Disease happens when the tissue around your teeth gets infected, causing inflammation. Plaque-forming bacteria that build up on your teeth usually cause this swelling as it spreads below the gum line.

The early form of gum disease is called gingivitis. You can control this condition with treatment, by keeping your mouth and teeth clean, and seeing the dentist regularly. However, more advanced gum disease — or periodontitis — may require more extensive treatment. That’s when you need to see a periodontist.

Dentists at Unique Dental Clinic review your dental and medical histories. Then they’ll do a dental examination to come up with the best treatment plan. Gingivitis and periodontitis can cause your gums to recede, or pull back, exposing a tooth’s root. Our periodontist can do a gum graft, where they take tissue, usually from the roof of your mouth, and use it to cover the receded gum line. A healthy gum line can help stop tooth decay, reduce sensitivity and pain, and improve your smile. This could include both surgical and nonsurgical methods:

1. Non Surgical Treatments

Scaling and root planing are non-surgical treatments to remove plaque and tartar from deep under the gum line. These procedures are sometimes paired with antimicrobial or antibiotic medicines as well, depending on the case.

2. Surgical Treatments

  • Flap surgery
  • Laser treatments
  • Regenerative procedures to encourage new bone and tissue growth
  • Dental crown lengthening, removing excess gum tissue
  • Dental implants to hold a replacement tooth or bridge
  • Periodontal pocket reduction procedures — also called osseous surgery — to help limit the space around your tooth’s root where bacteria can form

While some techniques are specific to treating gum disease, others are available for cosmetic purposes as well. Periodontist at Unique Dental Clinic often offer plastic surgery services like:

  • Dental crown lengthening to fix a gummy smile or an uneven gum line
  • Gum grafts to reduce the appearance of long teeth from age-related recession or prior gum disease
  • Ridge augmentation to restore the natural curve of the gums and jaw after replacing a lost tooth with a fake, or artificial, tooth

Reasons to See a Periodontist

Your general dentist may be able to treat some gum problems. But if you have gum disease that’s getting worse, a complex case, or the risk of tooth loss, your dentist will refer you to a periodontist. If you notice any of these common gum disease signs and symptoms, make an appointment with us to see if you should visit a periodontist.

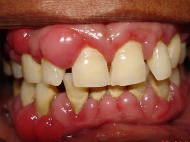
Swollen or puffy gums

Plaque and tartar-forming bacteria can also cause inflammation, which is often the first sign of gingivitis. When it goes untreated, this inflammation can make pockets form around your teeth. This raises your risk of infection that can lead to tooth loss.
Swollen gums often make your teeth look smaller. They may be dark red rather than a healthy light pink. In the early stages, you can treat this inflammation with a deep cleaning at your dentist and taking care of your oral hygiene at home.

Swollen Or Puffy Gums
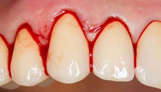
Gums That Bleed Easily

Gums that bleed easily

Inflammation can also cause your gums to bleed easily when you brush, floss, or eat. See your dentist if your gums are tender to the touch, your toothbrush is tinted pink after brushing, or you spit out blood when you brush or floss.
Bad breath is common and not always a cause for concern. But if you take good care of your mouth and bad breath doesn’t go away on its own, it could be a sign of infection or holes in your teeth.

Painful chewing

Over time, gum inflammation can form pockets around your teeth that can loosen teeth, making them more sensitive. You might also have trouble chewing. Make an appointment with your dentist if you notice a change in the way your teeth fit together or new spaces forming between your teeth.

Painful Chewing
Receding Gum Line

Receding gum line

Receding gums are not always due to gum disease. This can also result from brushing your teeth too hard, which injures the gum tissue. Our Periodontist can fix this issue for cosmetic purposes, potentially lowering your risk of gum problems in the future.

Gum recession that doesn’t result from too much brushing is usually a sign of later-stage gum disease, however. At this point, we can examine the issue and advise on appropriate treatment.

+91-9810843243